Prevedené zákroky
Prevedené zákroky
Prevedené zákroky
Pred zákrokom
Pred zákrokom

13 ročná pacientka s mikrodonciou -malým neestetickým zubom a veľkými medzerami medzi zubami
13 ročná pacientka s mikrodonciou -malým neestetickým zubom a veľkými medzerami medzi zubami
Po zákroku
Po zákroku

Oprava zubu fotokompozitnou výplňou bez vŕtania s estetickým výsledkom
Oprava zubu fotokompozitnou výplňou bez vŕtania s estetickým výsledkom
Pred zákrokom
Pred zákrokom

Chrup s amalgámovými výplňami
Chrup s amalgámovými výplňami
Po zákroku
Po zákroku


Výmena amalgámových výplní fotokompozitnými plombami s estetickým a anatomickým tvarom zubu
Pred zákrokom
Pred zákrokom

Chrup s amalgámovými výplňami
Chrup s amalgámovými výplňami
Po zákroku
Po zákroku

Výmena amalgámových výplní fotokompozitnými plombami s estetickým a anatomickým tvarom zubu
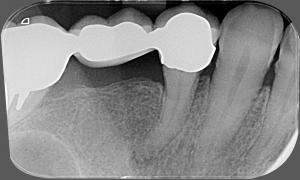
Pred zákrokom
Pred zákrokom

Zub s veľkým zápalom okolo hrotu koreňa
Zub s veľkým zápalom okolo hrotu koreňa
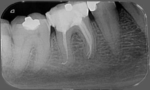
Po zákroku
Po zákroku

Zaplnenie koreňového kanálika s viditeľne zmenšeným zápalom
Zaplnenie koreňového kanálika s viditeľne zmenšeným zápalom
Pred zákrokom
Pred zákrokom

Chrup pred dentálnou hygienou, s viditeľnými povlakmi od čaju, kávy, cigariet
Zub s veľkým zápalom okolo hrotu koreňa
Po zákroku
Po zákroku

Chrup po dentálnej hygiene, všetky pigmenty a povlaky sú odstránené
Chrup po dentálnej hygiene, všetky pigmenty a povlaky sú odstránené
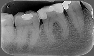
Pred zákrokom
Pred zákrokom

Zub so zápalom okolo hrotu koreňa
Po zákroku
Po zákroku

Zaplnenie koreňového kanálika
Pred zákrokom
Pred zákrokom

Zapálený nerv so zakriveným koreňovým kanálikom
Zapálený nerv so zakriveným koreňovým kanálikom
Po zákroku
Po zákroku

Po zaplnení koreňových kanálikov aj so zaplnenou zakrivenou špičkou
Po zaplnení koreňových kanálikov aj so zaplnenou zakrivenou špičkou
Naši partneri:



Naši partneri:



Naši partneri:


